先週の検査結果を聞いてきた。
CT画像、腫瘍マーカー共に問題なし。

そして、6月で中性脂肪と尿素窒素が基準値超えだったのだが、今回はしっかり基準値内。
中性脂肪:195→80
尿素窒素:24.3→17.0
よし!!!
すべてヨメによる食事管理のおかげです!!
さらに・・・

じゃん!!!
スーツのウエストを「3cm」詰めました!!!!
(つまらない写真ですね・・・)
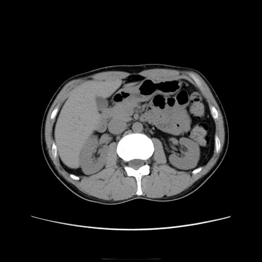
ではその「3cm」をCTで確認しましょうw。

おへそのあたりの部分です。
左が6月、右が今回の12月です。
わかりにくいので合成してみました。

おおお!!!
外側の線が6月、内側の線が12月。
背中側の脂肪が多めに減ったのか!!
これから冬なので多少のリバウンドは有りとして、トータルでキープできるようがんばります。
て、すべては「ありがとーヨメ!!!」なのですが。
CT画像、腫瘍マーカー共に問題なし。
そして、6月で中性脂肪と尿素窒素が基準値超えだったのだが、今回はしっかり基準値内。
中性脂肪:195→80
尿素窒素:24.3→17.0
よし!!!
すべてヨメによる食事管理のおかげです!!
さらに・・・
じゃん!!!
スーツのウエストを「3cm」詰めました!!!!
(つまらない写真ですね・・・)
ではその「3cm」をCTで確認しましょうw。
おへそのあたりの部分です。
左が6月、右が今回の12月です。
わかりにくいので合成してみました。
おおお!!!
外側の線が6月、内側の線が12月。
背中側の脂肪が多めに減ったのか!!
これから冬なので多少のリバウンドは有りとして、トータルでキープできるようがんばります。
て、すべては「ありがとーヨメ!!!」なのですが。
ブログ内検索
カレンダー
| 02 | 2026/03 | 04 |
| S | M | T | W | T | F | S |
|---|---|---|---|---|---|---|
| 1 | 2 | 3 | 4 | 5 | 6 | 7 |
| 8 | 9 | 10 | 11 | 12 | 13 | 14 |
| 15 | 16 | 17 | 18 | 19 | 20 | 21 |
| 22 | 23 | 24 | 25 | 26 | 27 | 28 |
| 29 | 30 | 31 |
プロフィール
HN:
マッツゴ
カテゴリー
最新コメント
[05/17 マッツゴ]
[05/13 Kassukabe Pharmacy]
[05/08 マッツゴ]
[05/07 chon]
[05/06 マッツゴ]
アーカイブ
アクセス解析
Copyright © マッツゴ All Rights Reserved.