あぁ、今年も終わりなのねぇ。
今日はバイクで出かける予定で7時に起床。
が、雨が少しだけ降っており・・・・30分待ってみるも天候にあまり変化がないのでバイクは中止。
アメッシュで確認すると守谷市上空だけ次から次へと雨雲が流れてきている・・・・なんだよそれ・・・。
諦めてチャリンコで近所に買い物へ。
まぁ途中もちょっとだけ降ってたからバイクで出かけなくてよかった。
帰宅後は早めのコーヒータイム!
さつまいも&モンテールのどら焼き&ヨメのカフェオレ~。

今日は牛乳をタカナシの低温殺菌牛乳にしてみた!!
けど、気持ちおいしくなったかなぁ、という感じw。
目指せ丸福珈琲のカフェオレなのだが、なかなか難しいね。(て、俺は飲んでいるだけですがw)
------------------------------------------------------------

年越し蕎麦~
昼間、生蕎麦を買ってきた。
念のため茹で方とか調べちゃいましたw。
左上は蕎麦湯。
------------------------------------------------------------
今年は漢字一文字だと「縮」かなw。
だってスーツのウエスト3cm詰めたからね!!
6月以降の食事の変化だけだよ!!
ぜん~んぶヨメのおかげです。
「感謝」で終わることのできる一年でした。
すばらしい!!!!
------------------------------------------------------------
さて、年越ししたところであまりの眠さに就寝~。
今日はバイクで出かける予定で7時に起床。
が、雨が少しだけ降っており・・・・30分待ってみるも天候にあまり変化がないのでバイクは中止。
アメッシュで確認すると守谷市上空だけ次から次へと雨雲が流れてきている・・・・なんだよそれ・・・。
諦めてチャリンコで近所に買い物へ。
まぁ途中もちょっとだけ降ってたからバイクで出かけなくてよかった。
帰宅後は早めのコーヒータイム!
さつまいも&モンテールのどら焼き&ヨメのカフェオレ~。
今日は牛乳をタカナシの低温殺菌牛乳にしてみた!!
けど、気持ちおいしくなったかなぁ、という感じw。
目指せ丸福珈琲のカフェオレなのだが、なかなか難しいね。(て、俺は飲んでいるだけですがw)
------------------------------------------------------------
年越し蕎麦~
昼間、生蕎麦を買ってきた。
念のため茹で方とか調べちゃいましたw。
左上は蕎麦湯。
------------------------------------------------------------
今年は漢字一文字だと「縮」かなw。
だってスーツのウエスト3cm詰めたからね!!
6月以降の食事の変化だけだよ!!
ぜん~んぶヨメのおかげです。
「感謝」で終わることのできる一年でした。
すばらしい!!!!
------------------------------------------------------------
さて、年越ししたところであまりの眠さに就寝~。
PR
先週の検査結果を聞いてきた。
CT画像、腫瘍マーカー共に問題なし。

そして、6月で中性脂肪と尿素窒素が基準値超えだったのだが、今回はしっかり基準値内。
中性脂肪:195→80
尿素窒素:24.3→17.0
よし!!!
すべてヨメによる食事管理のおかげです!!
さらに・・・

じゃん!!!
スーツのウエストを「3cm」詰めました!!!!
(つまらない写真ですね・・・)
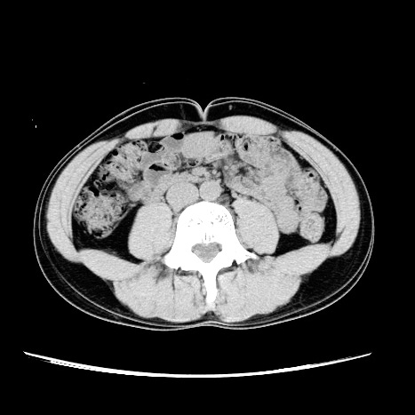
ではその「3cm」をCTで確認しましょうw。

おへそのあたりの部分です。
左が6月、右が今回の12月です。
わかりにくいので合成してみました。

おおお!!!
外側の線が6月、内側の線が12月。
背中側の脂肪が多めに減ったのか!!
これから冬なので多少のリバウンドは有りとして、トータルでキープできるようがんばります。
て、すべては「ありがとーヨメ!!!」なのですが。
CT画像、腫瘍マーカー共に問題なし。
そして、6月で中性脂肪と尿素窒素が基準値超えだったのだが、今回はしっかり基準値内。
中性脂肪:195→80
尿素窒素:24.3→17.0
よし!!!
すべてヨメによる食事管理のおかげです!!
さらに・・・
じゃん!!!
スーツのウエストを「3cm」詰めました!!!!
(つまらない写真ですね・・・)
ではその「3cm」をCTで確認しましょうw。
おへそのあたりの部分です。
左が6月、右が今回の12月です。
わかりにくいので合成してみました。
おおお!!!
外側の線が6月、内側の線が12月。
背中側の脂肪が多めに減ったのか!!
これから冬なので多少のリバウンドは有りとして、トータルでキープできるようがんばります。
て、すべては「ありがとーヨメ!!!」なのですが。
ブログ内検索
カレンダー
| 10 | 2025/11 | 12 |
| S | M | T | W | T | F | S |
|---|---|---|---|---|---|---|
| 1 | ||||||
| 2 | 3 | 4 | 5 | 6 | 7 | 8 |
| 9 | 10 | 11 | 12 | 13 | 14 | 15 |
| 16 | 17 | 18 | 19 | 20 | 21 | 22 |
| 23 | 24 | 25 | 26 | 27 | 28 | 29 |
| 30 |
プロフィール
HN:
マッツゴ
カテゴリー
最新コメント
[05/17 マッツゴ]
[05/13 Kassukabe Pharmacy]
[05/08 マッツゴ]
[05/07 chon]
[05/06 マッツゴ]
アーカイブ
アクセス解析
Copyright © マッツゴ All Rights Reserved.