Admin
Write
マッツゴ
2026/01/28 [Wed]
[PR]
×
[PR]上記の広告は3ヶ月以上新規記事投稿のないブログに表示されています。新しい記事を書く事で広告が消えます。
Top
|
|
Edit
2011/12/19 [Mon]
検査結果
今日は出社前に病院による。
先週のCT、採血の結果を聞きに。
問題なし。
で、先生から、抗癌剤治療から5年経ったし、検査間隔を半年ごとにしようとのこと。
ということで次回は6月になりました。
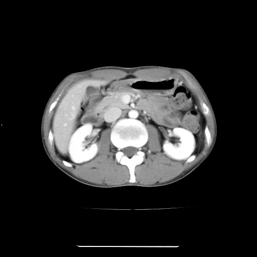
診察後、今年の画像データをCDRでもらってきましたのでアップしちゃいますw。
まずは先週。2011/12/12.
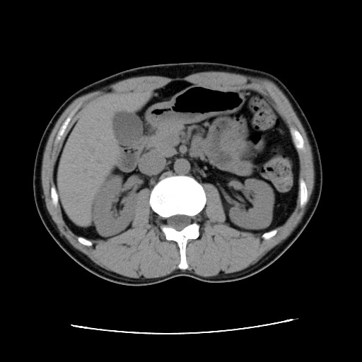
ちなみにこっちは1年半前の2010/5/27です。
腹回りの脂肪に著変なしw。
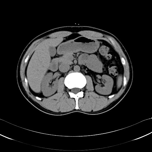
ちなみに2006/11/1。
脂肪がないw
PR
Comment(0)
|
Top
|
未選択
|
Edit
«
副都心線の渋谷駅
|
HOME
|
ワォーキング(自宅⇔守谷駅)
»
POST
name
title
mail
URL
comment
pass
secret(※管理者へのみの表示となります。)
COMMENT
<< 副都心線の渋谷駅
|
ワォーキング(自宅⇔守谷駅) >>
HOME
|
995
998
997
999
996
994
993
992
989
988
990
ブログ内検索
カレンダー
12
2026/01
02
S
M
T
W
T
F
S
1
2
3
4
5
6
7
8
9
10
11
12
13
14
15
16
17
18
19
20
21
22
23
24
25
26
27
28
29
30
31
プロフィール
HN:
マッツゴ
リンク
photo (2012/5/26 update!)
転移により抗がん剤治療(BEP)
最新記事
(05/24)
ブログ引越し
(05/18)
かつお
(05/18)
プラグ交換【21,418km】&PS掃除
(05/18)
蜂蜜の容器
(05/15)
久しぶりのハーゲンダッツ!!
カテゴリー
未選択 ( 964 )
FZS600 ( 119 )
MUISIC ( 68 )
スカイツリー ( 51 )
地震 ( 24 )
修繕 ( 23 )
パン焼き ( 51 )
守谷 ( 117 )
バイク歴 ( 5 )
降水短時間予報
-
降水短時間予報
-
最新コメント
そっか!
[05/17 マッツゴ]
野田線
[05/13 Kassukabe Pharmacy]
よかったよかった
[05/08 マッツゴ]
スピードセンサーでした。
[05/07 chon]
音は一番難しい
[05/06 マッツゴ]
アーカイブ
2013 年 05 月 ( 23 )
2013 年 04 月 ( 21 )
2013 年 03 月 ( 31 )
2013 年 02 月 ( 15 )
2013 年 01 月 ( 17 )
2012 年 12 月 ( 28 )
2012 年 11 月 ( 19 )
2012 年 10 月 ( 18 )
2012 年 09 月 ( 23 )
2012 年 08 月 ( 28 )
2012 年 07 月 ( 25 )
2012 年 06 月 ( 23 )
2012 年 05 月 ( 24 )
2012 年 04 月 ( 26 )
2012 年 03 月 ( 26 )
2012 年 02 月 ( 29 )
2012 年 01 月 ( 25 )
2011 年 12 月 ( 28 )
2011 年 11 月 ( 17 )
2011 年 10 月 ( 11 )
2011 年 09 月 ( 13 )
2011 年 08 月 ( 19 )
2011 年 07 月 ( 26 )
2011 年 06 月 ( 26 )
2011 年 05 月 ( 27 )
2011 年 04 月 ( 21 )
2011 年 03 月 ( 28 )
2011 年 02 月 ( 19 )
2011 年 01 月 ( 10 )
2010 年 12 月 ( 17 )
2010 年 11 月 ( 15 )
2010 年 10 月 ( 14 )
2010 年 09 月 ( 14 )
2010 年 08 月 ( 11 )
2010 年 07 月 ( 11 )
2010 年 06 月 ( 13 )
2010 年 05 月 ( 21 )
2010 年 04 月 ( 11 )
2010 年 03 月 ( 7 )
2010 年 02 月 ( 13 )
2010 年 01 月 ( 13 )
2009 年 12 月 ( 19 )
2009 年 11 月 ( 17 )
2009 年 10 月 ( 9 )
2009 年 09 月 ( 16 )
2009 年 08 月 ( 17 )
2009 年 07 月 ( 10 )
2009 年 06 月 ( 15 )
2009 年 05 月 ( 11 )
2009 年 04 月 ( 11 )
2009 年 03 月 ( 9 )
2009 年 02 月 ( 14 )
2009 年 01 月 ( 17 )
2008 年 12 月 ( 23 )
2008 年 11 月 ( 14 )
2008 年 10 月 ( 11 )
2008 年 09 月 ( 6 )
2008 年 08 月 ( 17 )
2008 年 07 月 ( 9 )
2008 年 06 月 ( 15 )
2008 年 05 月 ( 1 )
2008 年 04 月 ( 3 )
2008 年 03 月 ( 10 )
2008 年 02 月 ( 21 )
2008 年 01 月 ( 10 )
2007 年 12 月 ( 11 )
2007 年 11 月 ( 10 )
2007 年 10 月 ( 10 )
2007 年 09 月 ( 11 )
2007 年 08 月 ( 3 )
2007 年 07 月 ( 11 )
2007 年 06 月 ( 11 )
2007 年 05 月 ( 9 )
2007 年 04 月 ( 9 )
2007 年 03 月 ( 5 )
2007 年 02 月 ( 6 )
2007 年 01 月 ( 5 )
2006 年 12 月 ( 8 )
2006 年 11 月 ( 8 )
2006 年 10 月 ( 4 )
2006 年 09 月 ( 4 )
2006 年 08 月 ( 10 )
2006 年 07 月 ( 13 )
2006 年 06 月 ( 6 )
2006 年 05 月 ( 9 )
2006 年 04 月 ( 10 )
2006 年 03 月 ( 10 )
2006 年 02 月 ( 9 )
2006 年 01 月 ( 9 )
2005 年 12 月 ( 11 )
2005 年 11 月 ( 9 )
2005 年 10 月 ( 10 )
2005 年 09 月 ( 12 )
2005 年 08 月 ( 7 )
2005 年 07 月 ( 13 )
2005 年 06 月 ( 12 )
2005 年 05 月 ( 8 )
2005 年 04 月 ( 13 )
2005 年 03 月 ( 10 )
2005 年 02 月 ( 5 )
アクセス解析
トラック買取
Copyright ©
マッツゴ
All Rights Reserved.
Powered by
NinjaBlog
Graphics by
写真素材Kun
* Material by
Gingham
* Template by
Kaie
忍者ブログ
[PR]